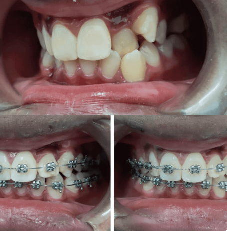
What Are Dental Braces?
Dental braces are widely used orthodontic tools designed to straighten your teeth and resolve various dental misalignments. This highly effective system utilizes a combination of brackets and wires affixed directly to your teeth. By exerting a constant and gentle pressure, braces slowly shift your teeth into their correct positions over a period of time.
The primary goal of braces is to enhance both the function and the visual appeal of your smile and jaw. Crooked or poorly aligned teeth can be a cosmetic concern, but more importantly, they can cause significant oral health issues. These include trouble chewing food, a higher likelihood of developing tooth decay, and persistent jaw discomfort. Orthodontic treatment resolves these problems by straightening the teeth, resulting in a beautiful, even smile.
At Hope Crown Dental, our experienced orthodontic team provides a variety of affordable braces solutions. We are committed to helping you gain a more comfortable and healthier smile.
Align Your Teeth with Braces
Do you often find yourself hiding your teeth when taking photos? Feeling self conscious about crowded or crooked teeth is a very common concern. However, misaligned teeth affect much more than just your self esteem, they can also have a negative impact on your overall oral health. These alignment issues can make it difficult to chew food properly, cause uneven wear and tear on your enamel, and elevate your chances of developing gum disease.
Dental braces present an outstanding solution for patients of all ages from children to adults who are seeking to improve both the function and appearance of their teeth. They are especially well suited for correcting underbites, overbites, gaps, and various other alignment challenges. By choosing orthodontic treatment at Hope Crown Dental, you can attain a beautifully uniform smile that also actively promotes better oral health.
Improved Appearance: Braces can effectively transform an uneven, crooked smile into a straight and beautiful one.
Enhanced Oral Functionality: Orthodontic treatment helps correct difficulties related to speaking, chewing, and biting.
4.9 stars by 3000 customers
“I've always been nervous about visiting the dentist, but my experience here changed that. The procedure was quick, professional, and practically painless. Hope Crown Dental truly cares about patient comfort..”
— Joy Kamau
“Professional, clean, and extremely thorough. They took the time to explain my treatment options clearly, and the results are amazing. I'm so glad I found this gem in Nairobi.”
— David Khaemba
“Booking an appointment was seamless, and I didn't have to wait long at all once I arrived. The dentist was patient, gentle, and answered all my questions without rushing. I highly recommend Hope Crown Dental to anyone looking for top notch, caring professionals.”
— Lilian Cheptum
VISIT US TODAY
Start Your Journey To A Healthier Smile
Take the first step towards achieving optimal oral health by scheduling your comprehensive dental evaluation.
