Dental Implants in Nairobi
The loss of one or more teeth can significantly impact your daily life, taking a toll on your oral health, overall well being, and self esteem. Missing teeth frequently lead to complications such as trouble chewing and biting, a decrease in confidence, and even the deterioration of your jawbone over time. Dental implants, or teeth implants, provide a highly effective method for replacing these missing teeth. Acting as artificial roots, they mimic the function of natural teeth to create a stable, robust foundation for false teeth or prosthetics.
The implant itself is a metallic screw that is carefully placed into your jawbone, stepping in as a permanent replacement for the missing tooth root. This crucial step not only halts and prevents further jawbone loss, but it also creates the perfect base for attaching a denture, bridge, or crown. Ultimately, this procedure gives patients an alternative to traditional dentures that both looks and feels entirely natural.
Here at Hope Crown Dental in Nairobi, we fully recognize how deeply tooth loss can affect your quality of life. That is why our team is dedicated to offering premium dental implant solutions designed to seamlessly replace missing teeth and completely restore your smile.
Dental Implants in Nairobi
Experiencing tooth loss can be distressing, and it can occur for a variety of reasons ranging from routine dental complications to more complex health issues. Our team at Hope Crown Dental is here to help you navigate these challenges. We frequently see tooth loss caused by:
Untreated cavities and tooth decay.
Gum disease.
Physical trauma to the mouth.
Certain medical conditions.
Inherited genetic disorders.
Side effects associated with other medical treatments.
Complications from erupting wisdom teeth.
Fragments from broken or missing teeth.
If you are dealing with gaps in your smile, dental implants are a fantastic way to replace one or multiple missing teeth. Ideally, candidates should have healthy gums and be old enough that their jawbone is completely developed, which provides a strong anchor for the new implant. Don't worry if you've already suffered some bone loss in your jaw; you may still be an excellent candidate for this life changing procedure.
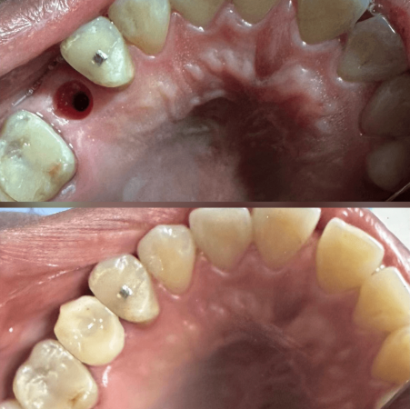
Before & After Dental Implants
The exceptional results of teeth replacement with implants
4.9 stars by 3000 customers
“I've always been nervous about visiting the dentist, but my experience here changed that. The procedure was quick, professional, and practically painless. Hope Crown Dental truly cares about patient comfort..”
— Joy Kamau
“Professional, clean, and extremely thorough. They took the time to explain my treatment options clearly, and the results are amazing. I'm so glad I found this gem in Nairobi.”
— David Khaemba
“Booking an appointment was seamless, and I didn't have to wait long at all once I arrived. The dentist was patient, gentle, and answered all my questions without rushing. I highly recommend Hope Crown Dental to anyone looking for top notch, caring professionals.”
— Lilian Cheptum
VISIT US TODAY
Start Your Journey To A Healthier Smile
Take the first step towards achieving optimal oral health by scheduling your comprehensive dental evaluation.
