Dental Crowns
Restore the appearance and functionality of your smile with teeth cap in Nairobi
Are you dealing with teeth that are cracked, worn down, or broken? Perhaps you feel self conscious because of discoloration, or you have weak teeth requiring additional support. These are frequent dental concerns that can hinder your ability to chew comfortably, lower your self esteem, and even impact your general health.
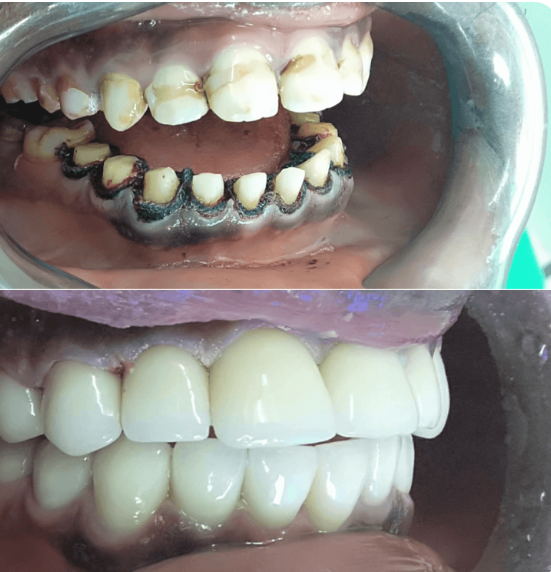
The good news is that dental crowns sometimes referred to as tooth caps offer a highly effective remedy for these problems. These custom crafted covers are securely placed right over your natural teeth to enhance their visual appeal and fully restore their function. Depending on your specific needs and preferences, crowns can be fabricated from an array of highly durable materials.
A dental crown works to rebuild damaged teeth by repairing severe wear, breaks, and cracks. They also strengthen weak teeth, providing vital support and guarding against future damage, while helping to conceal imperfections by giving stained teeth a beautiful, natural looking, and uniform shade. Right here in Pangani, Nairobi, the experienced cosmetic team at Hope Crown Dental collaborates closely with you to guarantee your crowns deliver the best possible results, giving you back a confident and healthy smile.
When are Crowns Recommended
At Hopecrown Dental, we recommend dentist caps for teeth for a variety of situations where they provide the most effective and lasting solution:
Trauma and Decay
Crowns can strengthen teeth significantly weakened by decay or physical trauma. It provides necessary coverage and restores full functionality.
After Root Canal Therapy
After a root canal procedure to treat an infected tooth, a crown can safeguard the remaining tooth structure, providing strength and longevity.
Cosmetic Concerns
Cosmetic issues like disproportionately sized teeth or intrinsic staining that doesn’t respond to whitening treatments can be improved with crowns.
Replace Missing Teeth
A crown supported by a dental implant can effectively replace a single missing tooth, preventing further health issues and restore your smile’s appearance.
Natural looking & Durable Crowns
People can experience a range of oral health problems such as fractured, broken, or decayed teeth which adversely affects their well being. Dental crowns help to restore your teeth damaged by decay, injury, and other issues without the need for tooth extraction. These crowns improve your smile while providing support and optimal dental function.
The foundation of a great smile starts with a set of strong, beautiful teeth. If you have discolored, cracked, or decaying teeth, our cosmetic dentist in Nairobi can help you upgrade your smile with dental crowns. We understand the concerns and needs of patients seeking improvements to their teeth. We assess the condition of your teeth and determine whether teeth crowns are the best treatment possible.
4.9 stars by 3000 customers
“I've always been nervous about visiting the dentist, but my experience here changed that. The procedure was quick, professional, and practically painless. Hope Crown Dental truly cares about patient comfort..”
— Joy Kamau
“Professional, clean, and extremely thorough. They took the time to explain my treatment options clearly, and the results are amazing. I'm so glad I found this gem in Nairobi.”
— David Khaemba
“Booking an appointment was seamless, and I didn't have to wait long at all once I arrived. The dentist was patient, gentle, and answered all my questions without rushing. I highly recommend Hope Crown Dental to anyone looking for top notch, caring professionals.”
— Lilian Cheptum
VISIT US TODAY
Start Your Journey To A Healthier Smile
Take the first step towards achieving optimal oral health by scheduling your comprehensive dental evaluation.
