Tooth Filling
Restore your smile and protect your teeth from further damage with dental filling in Nairobi
Tooth decay, frequently referred to as dental caries, is a widespread issue that impacts many Kenyans, often resulting in significant discomfort, pain, and potentially even tooth loss. While it is most commonly brought on by inadequate oral hygiene, factors like your diet and genetics can also play a major role. If left unaddressed, this decay creates cavities or small holes in the tooth enamel, which can ultimately hinder your ability to speak and chew comfortably. Beyond just your smile, untreated tooth decay can take a toll on your self esteem and overall well being.
Fortunately, dental fillings (also known as cavity fillings or tooth colored fillings) offer a reliable restorative treatment for repairing decay, surface damage, and minor tooth fractures. By carefully sealing off the cavity, a filling prevents harmful bacteria from entering the tooth, which effectively stops the decay from spreading throughout the affected tooth and to adjacent teeth. This simple procedure completely restores the strength, health, and structural integrity of your tooth.
Hope Crown Dental is recognized as a premier clinic in Nairobi for comprehensive restorative care, including expert tooth fillings. We create customized treatment plans designed around your unique needs, ensuring that every filling we provide is not only effective at stopping decay, but is also highly durable and aesthetically pleasing.
Tooth Decay and Cavities
Tooth decay, also known as dental caries, is a bacterial infection that strips essential minerals from your tooth enamel. As bacteria in your mouth break down food particles, they produce acids that dissolve these minerals and create weak spots. If left untreated, this ongoing erosion ultimately forms cavities.
Common Causes:
Poor oral hygiene habits.
Regular consumption of sugary or acidic foods and drinks.
Dry mouth (xerostomia).
Inadequate exposure to fluoride.
Warning Signs:
Visible holes in your teeth.
Sensitivity when consuming hot or cold foods and beverages.
Persistent toothaches.
Pain when biting down.
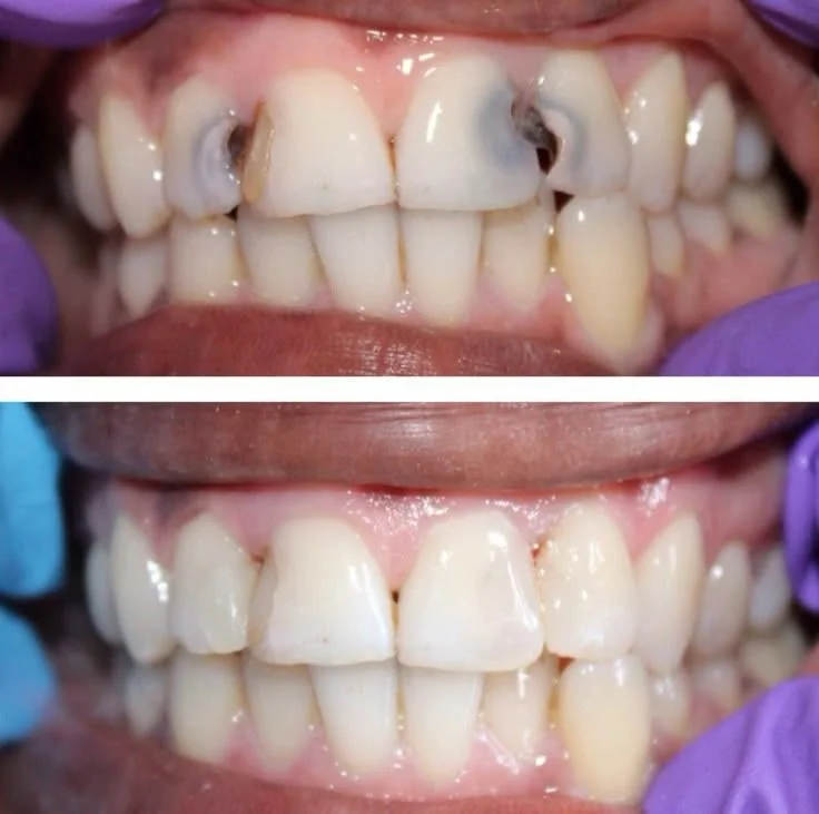
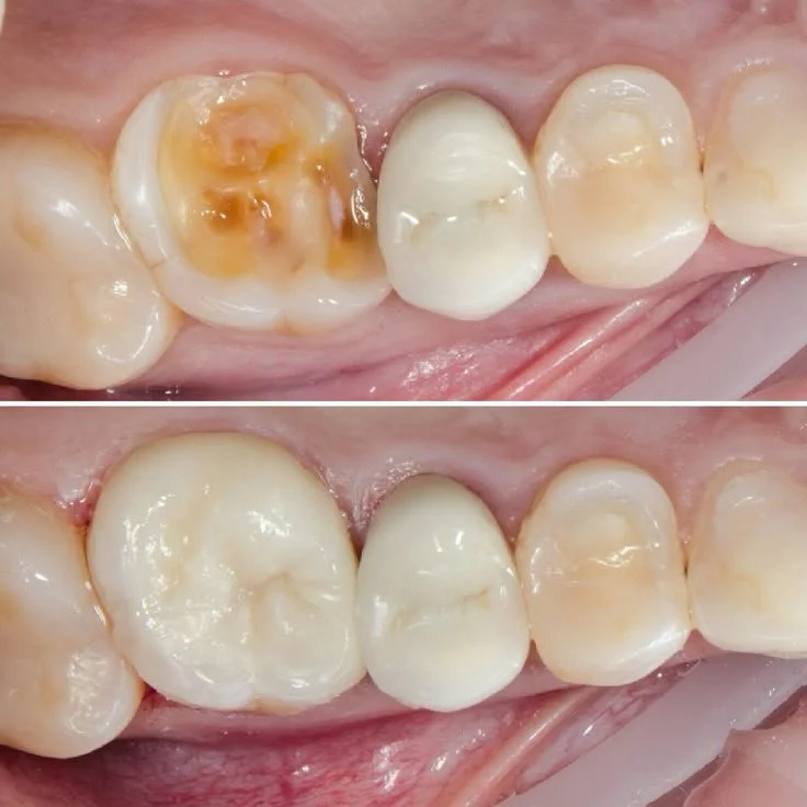
Our Cavity Filling Results
The exceptional results of our cavity treatment with teeth filling
4.9 stars by 3000 customers
“I've always been nervous about visiting the dentist, but my experience here changed that. The procedure was quick, professional, and practically painless. Hope Crown Dental truly cares about patient comfort..”
— Joy Kamau
“Professional, clean, and extremely thorough. They took the time to explain my treatment options clearly, and the results are amazing. I'm so glad I found this gem in Nairobi.”
— David Khaemba
“Booking an appointment was seamless, and I didn't have to wait long at all once I arrived. The dentist was patient, gentle, and answered all my questions without rushing. I highly recommend Hope Crown Dental to anyone looking for top notch, caring professionals.”
— Lilian Cheptum
VISIT US TODAY
Start Your Journey To A Healthier Smile
Take the first step towards achieving optimal oral health by scheduling your comprehensive dental evaluation.
